امرأة بريطانية عاشت 30 عاماً بشيء غير مريح في عينها .. ثم جاءت الصدمة

حين فقدت امرأة #بريطانية ، عدسة عين لاصقة، قبل 28 سنة، خلال مباراة للعبة الريشة الطائرة، لم يتمكن الأطباء من العثور على القطعة الضائعة، لكن الضحية اكتشفت مؤخرا أن العدسة انزاحت فقط صوب الجانب الأيسر من الجفن.
وبحسب ما نقلت قناة “روسيا اليوم” عن “فوكس نيوز”، فإن المرأة أصيبت في العين حين كانت تبلغ من العمر 14 عاما، وحين زارت مؤخرا طبيبا في العيون وقد بات عمرها 42 عاما اكتشفت أمرا محيرا.
وارتادت المرأة الطبيب لتجري فحوصا على مشكلة في العين، وأخبرته أنها تعاني انتفاخا وتدليا في الجانب الأيسر من الجفن منذ ستة أشهر.
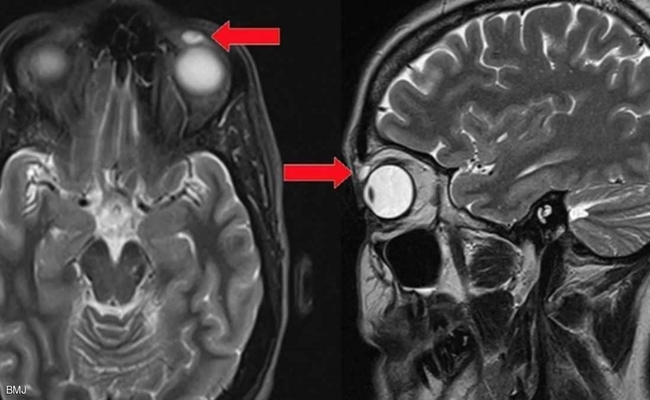
وأظهر فحص بالأشعة أن المشكلة الصحية ناجمة عن وجود عدسة يناهز حجمها 8 ميليمترات، وهو ما جعل الطبيب يلجأ إلى الجراحة لإزالة العدسة التي ظلت في مكانها قرابة ثلاثة عقود.
ولم تتذكر المرأة على الفور كيف وصلت العدسة إلى هذا المكان، لكن والدتها أخبرتها بما حصل، وبأن الابنة لم تعد بعد ذلك إلى ارتداء العدسات اللاصقة.
واستغرب الأطباء كيف أن العدسة لم تسبب ألما وانتفاخا إلا بعد مضي 28 عاما كاملة، فعلى الرغم من شعور الضحية بشيء غير مريح في عينيها طيلة الفترة السابقة، إلا أنها لم تر داعيا لقصد الطبيب.