الرئيسية
اتصل بنا
من نحن
الشروط والخصوصية
فيسبوك
X
واتساب
ملخص الموقع RSS
بحث عن
القائمة
الرئيسية
اخبار سوريا
فلاش
منوعات
سياسة
حوادث
طافشين
اقتصاد
أخبار ألمانيا
الصورة بتحكي
مقالات
اهم الأخبار
نيوميديا
أحدث الأخبار
ورد الآن
الرئيسية
/
2018
/
أغسطس
الشهر:
أغسطس 2018
منوعات
18 أغسطس، 2018
كريستيانو رونالدو يختار منزله في تورينو .. و الجيران مستاؤون
منوعات
18 أغسطس، 2018
اليابان تستعد لكارثة طبيعية و تخلي جزيرة كاملة
منوعات
18 أغسطس، 2018
إيطاليا : مغربي يرفض نقل زوجته بسيارة إسعاف طاقمها ذكور !
منوعات
18 أغسطس، 2018
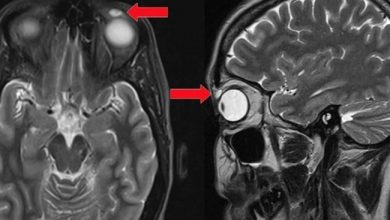
امرأة بريطانية عاشت 30 عاماً بشيء غير مريح في عينها .. ثم جاءت الصدمة
منوعات
18 أغسطس، 2018
برشلونة أول ناد يضع هذا الشعار على قميصه ( فيديو )
منوعات
18 أغسطس، 2018
القمر يقترب من ثلاثة كواكب في حدث فلكي نادر !
منوعات
18 أغسطس، 2018
الحكم بالسجن مع وقف التنفيذ على شقيق ليونيل ميسي
منوعات
18 أغسطس، 2018
مومياء مجهولة تكشف أسرار التحنيط الفرعوني
منوعات
18 أغسطس، 2018
بلدية ” إسرائيلية ” تقع بخطأ لغوي يثير سخرية العرب
منوعات
18 أغسطس، 2018
دراسة تحذر من خطورة الزواج على الصحة
« الأولى
...
80
90
«
94
95
96
»
100
110
...
الأخيرة