صورة شعاعية تكشف ما يفعله الكوكايين بالدماغ

كشفت صور أشعة مقطعية على المخ، الضرر الذي يصيب الدماغ جراء تعاطي مادة الكوكايين بكميات كبيرة ولفترات طويلة.
وتوجه رجل عمره 45 عاما إلى مستشفى في مالطا عندما دخل فيما يشبه الغيبوبة وكان يعاني الحمى، لكن تم التوصل إلى إصابته بأضرار في المخ بسبب الكوكايين.
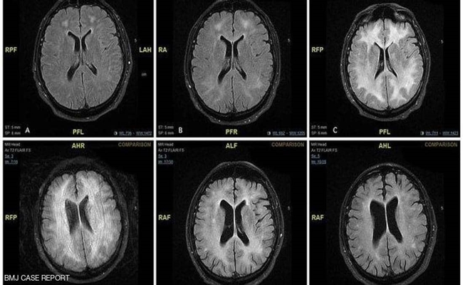
وأظهرت صور الأشعات وجود “تغييرات دائمة” في المادة البيضاء التي تقع في عمق الدماغ، وتتألف من أنسجة عصبية مسؤولة عن الإدراك، وتلعب دورا مهما في التحكم بالتعلم وحل المشكلات والمشي والتوازن والحالة المزاجية، فيما تحيط بها طبقة خارجية من ما يعرف باسم المادة الرمادية.
وتظهر صور التقطت على فترات، أن أجزاء من المادة البيضاء تتحول إلى اللون الداكن، مما يشير إلى أن الخلايا العصبية بها قد ماتت، وكشفت الاختبارات التي أجريت عندما استفاق المريض من الغيبوبة، أنه يعاني تلفا في الدماغ يشبه ما يصيبها في حالات الخرف.
وتم تشخيص حالة الرجل بحالة مرضية تسمى “تلف المادة البيضاء المرتبط بالكوكايين”، بسبب تعاطيه كميات كبيرة من المادة ذات التأثير المنشط، ويقول الأطباء إن هذه الحالة سريعة التطور، وغالبا ما تؤدي إلى الوفاة، حيث نادرا ما تم الإبلاغ عن شفاء تام للمريض.
وبحسب قناة “سكاي نيوز”، في مرحلة مبكرة من العلاج، قدم له الأطباء مضادات حيوية وأدوية مضادة للفيروسات، لكنه استمر في التوعك، ثم ظهرت عليه أعراض الانسحاب حيث بدأ يضرب رأسه في الحائط، بعد منع الكوكايين عنه لمدة يومين.
وقالت يولينيا عبدلا الطبيبة المعالجة، في تقرير الحالة الخاص به: “لم يكن المريض متعاونا، ولم يتمكن من أداء مهام بسيطة ولم يكن يتبع الأوامر. حالة الرجل ازدادت سوءا حتى انتهى به المطاف في غيبوبة وأصيب بتصلب العضلات”.
لكن مع التوقف عن تعاطي الكوكايين لعدة أشهر، بدأت قدرات الرجل الإدراكية تتحسن لكن ظلت الأضرار الظاهرة على المخ على حالها.