بعد صداع استمر لأسبوع .. اكتشاف يرقات دودة شريطية في دماغ امرأة أسترالية

اكتشف أطباء في أستراليا وجود يرقات ديدان شريطية في دماغ امرأة تبلغ من العمر 25 عاماً، وذلك بعد معاناتها من صداع استمر لأكثر من أسبوع.

وكان الألم ناتجاً من يرقات دودة شريطية احتلت مكاناً في دماغها، وفقاً لدراسة جديدة حول حالتها من قبل مجلة “The American Journal of Tropical Medicine and Hygiene”.

وأشارت الدراسة إلى أن المرأة، التي لم تسافر إلى الخارج قط، هي أول حالة محلية لهذا المرض في أستراليا.

وكانت الحالات الأسترالية السابقة لهذه العدوى من مهاجرين أو مقيمين عائدين سافروا إلى مناطق يستوطنها المرض، مثل أفريقيا، وآسيا، وأمريكا اللاتينية.

وعلى مدار السبعة أعوام الماضية، اشتكت المرأة من صداع يحدث مرتين أو 3 مرات في الشهر، ويختفي عند استخدام أدوية الصداع النصفي الموصوفة.

ولكن صداعها الأخير استمر لأكثر من أسبوع، كما صاحبه أعراض بصرية شديدة، ومن بينها عدم وضوح الرؤية المركزية لديها.

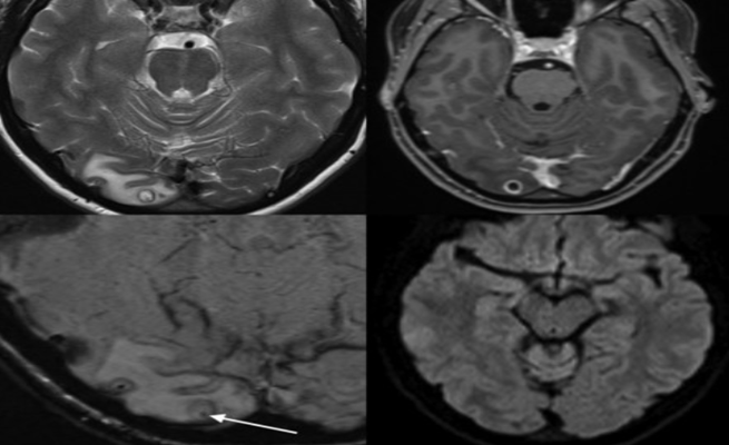
وبعد جلسة تصوير بالرنين المغناطيسي لدماغها، اعتقد الأطباء أن سبب ألمها قد يكون ناتجاً من ورم، ولكن بعد إجراء عملية لإزالته، اكتشفوا أنه في الواقع كيس مليء بيرقات دودة شريطية، وبعد إزالة الكيس، لم تحتاج المرأة إلى المزيد من العلاج.

ووفق ما ذكرت شبكة “سي إن إن”، تُعرف هذه الحالة باسم “Neurocysticercosis” (داء الكيسات المذنبة العصبي)، وهو يمكن أن يتسبب بأعراض عصبية عندما تتطور كيسات اليرقات في الدماغ.

ويعاني الأشخاص من هذه العدوى الطفيلية عن طريق ابتلاع البيض الموجود في براز شخص مصاب بالديدان الشريطية المعوية، وفقاً للمراكز الأمريكية لمكافحة الأمراض والوقاية منها “CDC”، كما أنها ذكرت أن داء الكيسات المذنبة العصبي مميت، وأنه سبب رئيسي لظهور الصرع لدى البالغين في جميع أنحاء العالم.

وتعيش الديدان الشريطية عادةً في أمعاء الإنسان، وهي تتسبب بعدوى تُعرف بداء الشريطيات.

وينتقل هذا الطفيلي بشكل شائع عندما يستهلك الأشخاص لحم الخنزير غير المطبوخ بشكل جيد، إذ تُعد الخنازير عائلاً للديدان الشريطية، أو عند التلامس مع الطعام والماء والتربة الملوثة ببيض الديدان الشريطية.

واعتُبر خطر إصابة هذه المرأة، التي تعمل في مجال تحضير القهوة، بهذه العدوى معدوماً أو منخفض للغاية، ولكن، يُعتقد أنها ابتلعت بيض الدودة الشريطية بطريقة ما بالخطأ من شخص حامل لها.

وكان لرجل من تكساس تجربة مماثلة، إذ أنه كان يعاني من صداع شديد لأكثر من عقد، واتضح أنه كان ناتجاً من يرقات ديدان شريطية استقرت في البطين الرابع من دماغه.

ويُعد أفضل خط دفاع ضد الإصابة بعدوى شبيهة الحرص على طهي اللحوم في درجات حرارة آمنة، وغسل اليدين قبل تناول الطعام، وتناول الطعام الذي تستطيع التأكد من طهيه في ظروف صحية.

التعليقات المنشورة لا تعبر عن رأي عكس السير وإنما عن رأي أصحابها